After orthodontic treatment, retainers are essential to maintaining your results. Dr Maha provides custom-made retainers for patients in Leicester, Corby and nearby areas, ensuring your teeth stay beautifully straight and stable long after braces or aligners are removed.

to fit your smile perfectly.
teeth from shifting after treatment.
Discreet and easy to wear.
support and follow-up care from Dr Maha.

Once teeth have been moved into their new positions, the surrounding bone and gums take time to stabilise. Without retainers, there’s a risk of teeth gradually shifting back.
As humans we are continuously growing, and so teeth will always want to move and shift as we age. Retainers must always be worn after orthodontic treatment. Dr Maha will set your protocol for you.
Dr Maha provides both fixed and removable retainers, custom-made using digital scans for a comfortable fit. Each plan is tailored to your individual needs, ensuring your new smile remains as straight and confident as the day your braces came off.
Retainers are not one-size-fits-all.
As a GDC-registered Specialist Orthodontist, Dr Maha ensures each patient receives the right type of retainer and follow-up schedule to maintain stability, function and aesthetics for life.

Dr Maha offers:
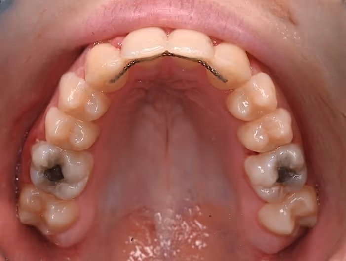
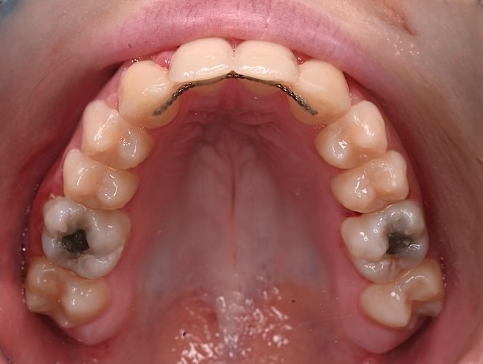
Fixed retainers – thin, discreet wires bonded to the back of the front teeth for continuous support.
Removable retainers – clear, custom trays worn as advised, ideal for easy cleaning and flexibility.
Both options are designed for comfort and longevity, ensuring your smile remains beautifully aligned for the long term.
After your braces or aligners are removed, Dr Maha will assess your smile and discuss the best retainer type for your needs.
Digital scans are used to create retainers that fit perfectly and feel comfortable, ensuring maximum effectiveness.
You’ll receive full guidance on wear, care and cleaning to maintain your retainers and oral hygiene.
Regular reviews allow Dr Maha to monitor stability, adjust if needed and provide replacements if retainers become worn or lost.

Retainers are the final and most important stage of orthodontic treatment. Once your teeth have been moved into their ideal positions, they need time to settle as the surrounding bone and tissues adapt. Wearing retainers as advised helps your smile stay perfectly aligned and prevents teeth from gradually shifting out of place.
With consistent use and professional oversight, retainers help preserve the results of your orthodontic treatment - keeping your smile straight, confident and healthy for many years to come.

Your removable retainers are included as part of your orthodontic treatment, designed to keep your smile stable long after active treatment ends. Each set is custom-made for accuracy and comfort, and you’ll receive guidance on how to wear and care for them properly.
Your retainer package includes:
If you ever lose or damage your retainers, we can provide replacements quickly to help maintain your results.
Teeth naturally tend to shift back after orthodontic treatment. Retainers hold them in their new positions while the surrounding tissues stabilise.
Initially, retainers are worn full-time, then gradually reduced as advised by Dr Maha. Some patients benefit from lifelong night-time wear for lasting results.
It depends on your treatment and lifestyle. Fixed retainers provide constant support, while removable ones offer flexibility and easy cleaning.
Contact the clinic as soon as possible. Dr Maha can arrange a replacement quickly to prevent unwanted tooth movement.
There may be a slight adjustment period, but most patients adapt within a few days.
Dr Maha will show you how to clean your retainer safely using mild solutions or a soft brush, avoiding heat or harsh chemicals.
Yes. Even if you’ve had braces elsewhere, Dr Maha can assess your teeth and provide new custom retainers to prevent further movement.
Begin your journey to a healthier, straighter smile with Dr Maha today.
Every patient is treated personally by Dr Maha Aljefri, with consistent specialist care in Leicester, Corby and Thrapston. Patients benefit from modern, accessible clinics, easy parking and digital technology.
Open weekdays from 08:45–17:30. Digital scanning and remote monitoring available. Accessible facilities and free parking.
1A Main St,
Humberstone,
LE5 1AE

Open weekdays from 08:45–17:30. Digital scanning, friendly team and easy parking.
6-7 Charter Court,
Butland Road,
Oakley Vale,
Corby,
NN18 8QT

Providing accessible orthodontic consultations for patients in the wider Kettering area, ensuring care is available where it’s needed.
2 Bridge St,
Thrapston,
Kettering,
NN14 4JP
