Join our Open Day on 6th June for a free specialist consultation and personalised treatment plan.


BDS, MFDS RCS (Edin), PgCert (Dent Ed), MSc Orth (distinction), MOrth RCS (Eng)
Every smile is personally guided by Dr Maha Aljefri, a GDC-registered Specialist Orthodontist with extensive hospital and clinical experience.
She trained at the University of Bristol (BDS) and gained her Fellowship in Dental Surgery (MFDS RCS Ed), before completing a three-year Master’s in Orthodontics at King’s College London with distinction. She then earned specialist membership in Orthodontics from the Royal College of Surgeons (MOrth RCS Eng) and a postgraduate certificate in dental education (PgCert Dent Ed).
Her expertise allows her to treat complex cases with precision, combining advanced digital technology with careful, evidence-based planning. Every treatment plan is tailored to the individual, balancing aesthetics, function, and long-term results.
With specialist-led care at every step, Dr Maha ensures each patient’s journey is personal, meticulous and focused entirely on creating a confident, healthy smile.
From start to finish, the focus is a healthy, functional smile that fits you.
Here’s what to expect when you begin treatment with Dr Maha in Leicester and Corby:
Get in touch and we'll call to arrange either a free consultation with a treatment coordinator or a specialist assessment with Dr Maha. Scans, photos and an initial plan are included, as needed.
Following your specialist assessment, you’ll receive a treatment plan that’s designed around your goals, lifestyle and budget. Every plan is unique.
From clear aligners to fixed braces, your progress is overseen by Dr Maha and her supporting team. We review your movement at each visit, using digital tools where helpful. Remote check-ins are available at some locations to reduce time in the chair.
Treatment doesn’t stop when appliances come off. Removable retainers are included, with guidance on wear and maintenance. Complimentary whitening is included with comprehensive treatments* and comes with a 1-year guarantee.
*Must be 18+ for whitening. Single arch treatments excluded.
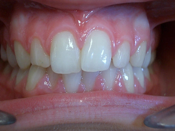
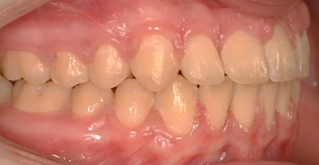
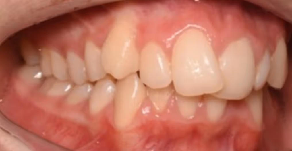
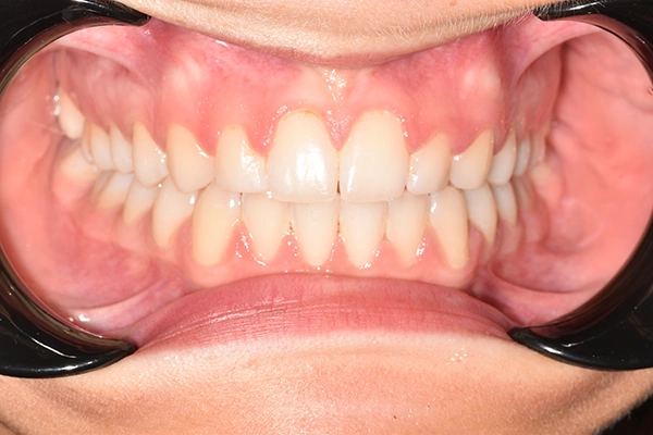
Every smile has a reason behind it: a wedding, a promotion, a fresh start. See real results from patients treated with aligners, braces and specialist appliances, each plan designed by Dr Maha to protect function as well as aesthetics.
Look for balanced bites, natural tooth shapes and healthy gums. That is the difference careful, specialist care can make.
From children to adults, Dr Maha offers a full range of orthodontic solutions in Leicester and Corby to suit every need.
Comfortable, discreet aligners that guide teeth gently, helping you achieve the smile you’ve always wanted.
Subtle, removable and designed to fit seamlessly into your daily life, so you can straighten your teeth without interrupting your smile.

Whether metal or ceramic, fixed braces offer precise control to transform your smile while you carry on with everyday life.

Hidden on the inside of your teeth, these braces give the freedom of invisibility while delivering the highest quality orthodontic results.

Early guidance and gentle interventions help growing smiles develop naturally, setting the foundation for healthy teeth for a lifetime.

Custom-made retainers protect your investment, keeping your teeth straight and your smile looking its best.

"I believe that orthodontic treatment should be rooted in science and designed around people, not products.
My purpose is to deliver specialist care that’s thoughtful, evidence-based and deeply personal, because every smile deserves more than a one-size-fits-all approach."
Every patient is treated personally by Dr Maha Aljefri, with consistent specialist care in Leicester, Corby and Thrapston. Patients benefit from modern, accessible clinics, easy parking and digital technology.
Open weekdays from 08:45–17:30. Digital scanning and remote monitoring available. Accessible facilities and free parking.
1A Main St,
Humberstone,
LE5 1AE

Open weekdays from 08:45–17:30. Digital scanning, friendly team and easy parking.
6-7 Charter Court,
Butland Road,
Oakley Vale,
Corby,
NN18 8QT

Providing accessible orthodontic consultations for patients in the wider Kettering area, ensuring care is available where it’s needed.
2 Bridge St,
Thrapston,
Kettering,
NN14 4JP

A dentist may offer braces or aligners, but only a GDC-registered specialist orthodontist has undertaken years of additional hospital training in orthodontics. With Dr Maha, treatment is planned and delivered using specialist protocols for safe, predictable results.
Yes. Dr Maha treats patients of all ages, from early interceptive treatment in children to cosmetic and functional solutions for adults, welcoming families from Leicester, Humberstone, and the wider Leicestershire area, as well as Corby, Oakley Vale, and nearby towns such as Weldon and Market Harborough.
Costs vary because every plan is tailored. Low deposit options are available, with 12 months interest-free and longer interest-bearing terms. Removable retainers are included with all treatments and come with a 1 year guarantee. Complimentary whitening is included with full comprehensive treatments for patients aged 18 and over.
Yes. Clear aligners, including Angel Aligners and Invisalign, are available where clinically appropriate. Dr Maha will guide you to the right system based on your teeth, bite and lifestyle.
State-of-the-art digital scanning allows precise planning of your treatment, and remote monitoring helps track progress between visits, making the journey more convenient and accurate. Treatment is always overseen by Dr Maha and the supporting team, with technology used when it adds value.
Every treatment plan is tailored to the individual, based on a full assessment, scans and photos, ensuring results balance aesthetics, function and long-term stability.
Yes. Both the Leicester clinic in Humberstone and the Corby clinic in Oakley Vale have wheelchair access, free parking, and welcoming, supportive environments for patients and families from Oadby, Wigston, Scraptoft, Weldon, and Great Oakley.
Yes. Any necessary refinements to ensure your smile meets your goals are included in your treatment plan.
Yes. Both Leicester and Corby clinics offer flexible appointment times, including after-school slots, to make treatment convenient for younger patients.
Orthodontic treatment is a journey - and results can last a lifetime. That’s why it’s essential to trust a qualified Specialist Orthodontist.
Here are a few reasons why patients choose Dr Maha:
Begin your journey to a healthier, straighter smile with Dr Maha today.